Архив
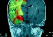
Функциональная томография
В Федеральном научном центре неврологии установлен уникальный прибор, который позволяет не только определить зону поражения мозга при инсульте, но и оценить, насколько серьезно пострадали нервные клетки.
Стеноз сонных артерий
В Научный центр сердечно-сосудистой хирургии им. А. Н. Бакулева поступил пациент с жалобами на головные боли и высокое артериальное давление. При обследовании у него выявили резкое сужение левой внутренней сонной артерии, которое в любую минуту может привести к инсульту...
История Анны Аминовой
27-летняя Анна Аминова стала жертвой инсульта. Можно ли было предотвратить инсульт, и что делать, если он все же случился? О результатах нового метода лечения последствий кровоизлияния в мозг расскажет профессор
Контроль за уровнем холестерина в крови
Почему повышенный уровень холестерина в крови может привести к развитию инсульта? О том, как контролировать уровень холестерина в крови расскажет профессор Агеев Ф. Т.
Инсульт и давление
Каждую минуту у кого-то случается инсульт. Очень часто его причиной становится высокое артериальное давление. Как поддержать давление в норме и тем самым предотвратить инсульт? На этот вопрос ответит профессор Агеев Ф. Т.
Инсульт и мерцательная аритмия
Если у вас мерцательная аритмия, то вам грозит инсульт. Можно ли избавиться от аритмии и предотвратить инсульт? На этот вопрос ответит профессор
Магнитно-резонансный томограф
При самых первых признаках инсульта необходимо срочно сделать магнитно-резонансную томографию. Эта процедура позволит не только избежать тяжелых последствий инсульта, но и спасти жизнь.
Как распознать инсульт и спасти себе жизнь
Каждую минуту у одного жителя нашей страны случается инсульт. В группе риска может оказаться каждый. О том, как распознать инсульт и спасти себе жизнь расскажет один из ведущих специалистов по лечению инсульта, академик
Восстановление после инсульта: Локомат
Новый прорыв в лечении тяжелых последствий инсульта. Вновь научить человека ходить поможет уникальный реабилитационный тренажер, установленный в Федеральном центре неврологии.
















