Слайдшоу
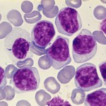
10 симптомов рака крови
Рак крови – это тяжелое заболевание, ранние проявления которого часто остаются незамеченными. Наше слайд-шоу расскажет о первых симптомах рака крови
Как справиться с хроническим миелолейкозом
Хронический миелолейкоз: фазы и лечение
Болезни крови
Краткий обзор наиболее распространенных заболеваний системы крови.
Анемии
Обзор основных типов анемий с перечислением симптомов.
Причины колебания уровня сахара в крови. Часть 2
Продолжаем рассказывать об основных подсказках, которые помогут вам тщательнее контролировать уровень сахара в крови.
Причины колебания уровня сахара в крови. Часть 1
Из нашего слайд-шоу вы узнаете подсказки, которые помогут вам тщательнее контролировать уровень сахара в крови.












